完全予約制・自由診療
一般歯科から難症例まで
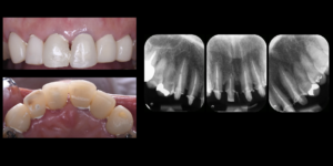
質の高い歯科治療を表参道で
東京メトロ銀座線・千代田線・半蔵門線
「表参道」駅
B1出口から徒歩5分、プライベート空間で世界基準の
失敗のない歯科治療をご提供しております。
▶︎ PPPコースの申し込みはこちら
新着情報
- 2025.12.04 年末年始休暇のお知らせ
-
12/29〜1/4/2025までの年末年始期間、休診とさせていただきます。 1/ … 続きを読む
- 2025.07.30 お盆休みのお知らせ
-
8/12~8/16/2025までをお盆休みとさせて頂きます。 なお、上記期間中も … 続きを読む
- 2025.07.03 臨時休診のお知らせ 7/3(木)~7…
-
7/3~7/13までの期間中、院内工事および院外研修のため臨時休診とさせて頂きま … 続きを読む
- 2025.05.21 休診日のお知らせ
-
院外での仕事のため、下記の日程を臨時休診日とします。 5/21 10:00-13 … 続きを読む
- 2025.04.07 4/8 (火)午後診療 休診のお知ら…
-
4/8の午後は院長が学生実習に参加するため、休診させて頂きます。午前中は通常通り … 続きを読む
- 2025.04.01 4/14 (月) 午前診療の休診のお…
-
4/14の午前診療は休診させて頂きます。午後から通常通り診療いたします。 ご迷惑 … 続きを読む
- 2024.12.02 年末年始休暇のお知らせ
-
12/28〜1/4までの年末年始期間、休診とさせていただきます。 1/6/202 … 続きを読む
- 2024.09.30 休診日のお知らせ
-
10/12 土曜日は学会参加のため休診いたします。 ご不便をおかけしますが、どう … 続きを読む
- 2024.07.27 2024年 夏季休暇のお知らせ (8…
-
8月12日(月)から8月17日(土)まで夏季休暇を頂きます。 ご迷惑をお掛け致し … 続きを読む
- 2024.04.08 GWのお休みについて
-
5月2日(木)から5月6日(月・祝)までお休みさせていただきます。 ご迷惑おかけ … 続きを読む
医院ブログ
-
医院ブログ 2026/03/08
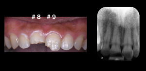
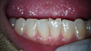
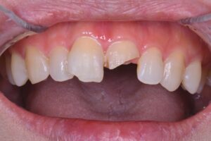
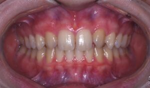
【表参道 歯科 ダイレクトボンディング】 破折した... こんにちは。表参道・青山にある歯科石上医院です。 自転車の交通事故…
-
医院ブログ 2026/02/04
【表参道 歯科 審美歯科】顔貌との調和を考慮した前... こんにちは。表参道・青山にある歯科石上医院です。 先日、前歯部のセラミック…
-
医院ブログ 2026/01/19
【表参道 歯科 ダイレクトボンディング】米国補綴専... こんにちは。表参道・青山の歯科石上医院です。 この患者様は「側切歯…
| 診療案内 | 月 | 火 | 水 | 木 | 金 | 土 | 日 |
|---|---|---|---|---|---|---|---|
| 10:00~13:00 14:00~18:00 |
● | ● | ● | - | ● | ▲ | - |
- 休診日
- 木曜、土曜午後、日曜、祝日
一つの歯から複数の歯に及ぶ難しい症例まで米国補綴専門医にお任せください
随時受付中
「他院で抜歯と言われたけど本当?」
「虫歯になっていると言われたけど本当?」
「虫歯を予防したい」「他院で治療したけどもっと綺麗にやり直したい」など、最新の知見を有した米国補綴専門医が対応致します。
当院は完全予約制の
自由診療型オフィスです
十分な診査・診断を行ったうえでどうして現状の様な結果になってしまったのか考えリスクファクターを把握し、長期的な予後を見据えた治療が出来るように心掛けております。保険制度の制約により、十分な診療時間の確保、専門的治療の提供や理想的な材料の使用に制限がかかるため健康保険診療ではなく、完全自由診療の専門オフィス、という形態を取らせていただいております。
美しさと
バランスの極み
人の顔・口は一人ひとり異なり、
その人に合う
歯科治療を行なうには、
全体像を見据えた
プランニングが不可欠です。
補綴専門医とは、この最終ゴールを
決めそこから逆算して
どんな治療が必要でその補綴
(被せ物や詰め物)が最適解であるかを
緻密に計算し、そのレールに沿って
各専門医と連携し治療を進めていきます。
補綴専門医は、そのプランニングの
指揮者であり、
その最高峰アメリカ
補綴専門医の石上 貴之が
美しくやり直しのない
パーフェクトな治療をお約束します。
どのような症状でも適切な診査・診断と治療プランニングで、やり直しのない仕上がりを実現できます。
どのような症状でも適切な診査・診断と治療プランニングで、やり直しのない仕上がりを実現できます。
- 治療がやり直しにならないようにしたい
- 他院の治療計画を
第三者視点で相談したい - 歯がボロボロでも、
どうにかしたい - 以前に治療した歯に
どこか違和感がある - 究極的に歯を美しくしたい
アメリカ補綴専門医石上 貴之
一方的な歯科治療はいたしません。
ご満足のいく結果をご提供するには
何よりも
患者様の協力が
必要不可欠です。
当院の全ての歯科治療プランニングは私が行います。
十分な診査・診断を行ったうえでどうして現状の様な結果になってしまったのか考え、リスクファクターを把握し、やり直しのない歯科治療をご提案いたします。症状や生活方式などを考慮した上で、ご一緒に最善の治療方法を決定していきましょう。
- 表参道・青山の歯医者 歯科 石上医院
- 院長
米国補綴専門医石上 貴之
お口を拝見する前にお困りになっている事をしっかり伺います。私がよく留学中に言われていたのが、『Meet the mind of the patient before meeting the mouth of the patient: Devan, 1961』(口の中を見る前にまず心を見なさい。)です。お口の中の問題は精神的にも大変辛いものです。お困りになっていることを正確に把握する事は審査・診断をする上で大変重要です。
世界基準の歯科医療を求めて。
かけがえのない仲間と過ごした、
米国南カリフォルニア大学での歩み。
患者様満足度調査を実施しております。
少しでも患者さまにとってより良い歯科医療を提供するため、第三者機関に依頼して患者さま満足度調査を行っています。率直なご意見をいただき、改善すべき点は真摯に受け止めていきたいと思っております。
当院には患者さまの個人情報は一切伝えられませんので、是非、暖かいお言葉、おしかりのお言葉、たくさんお寄せください。
審美と治療についてはこちら
アメリカ補綴専門医とは?
アメリカの歯学教育を統轄している組織、The Commission on Dental Accreditation (CODA)に認可された大学で3年間の専門医課程を卒業した者だけがなることができます。沢山の講義、レクチャー、プレゼンテーションや臨床経験を経て、噛み合わせ、審美、インプラント、被せ物、ブリッジ、義歯、顎関節症などの専門的知識や技術を習得します。また、病気の進行過程を予測し適切な治療計画が立てられるように訓練されます。どの大学も毎年、大体100名以上の応募から5 名程しか選ばれない狭き門になっています。
歯科 石上医院から患者さまへの約束
歯科 石上医院では十分な診査・診断を行ったうえでどうして現状の様な結果になってしまったのか考えリスクファクターを把握し、長期的な予後を見据えた治療が出来るように心掛けております。
-
納得できる
仕上がりをお約束米国補綴専門医による治療計画
精密補綴治療当院ではアメリカの専門医システムの様にまず補綴専門医にて診査させて頂き方向性を決めた後、各専門医と連携し治療を進めていきます。
-
難症例もお任せください
各分野の専門医によるチーム診療
一般的な歯科医院と違い専門医で構成されたチームで対応致しますので複雑な症例に対しても包括的な治療を行なっていくことができます。
-
一人に対して
十分な時間を確保十分な説明と診療時間
適切な材料の選択、丁寧な施術完全予約制のプライベートクリニックです。ユニットは2つのみ。一人一人時間をかけ丁寧に診療します。
-
ご安心ください、
治せます一流のホスピタリティ
(心からのおもてなし)お口の問題で困られていると笑顔になれなかったり楽しくお食事ができなかったり精神的に大変辛いものです。私たちは心のケアも大事にしております。
-
何でも
ご相談してください患者様もチームの一員です
ご一緒に治療を進めましょう歯科治療は長期的になりがちで患者様の協力が必要不可欠です。こちらからの一方的な治療になりますとご満足のいく結果にはなり得ません。
歯科 石上医院診療メニュー
一つの歯を治すだけでも実はたくさんの事を考えなければなりません。
それが複数歯に及んだ場合、専門的な知識・技術が本来なら必要なのです。
今受けている治療内容がよく分からない、治療が全く終わらない、症状が良くならないなど何か疑問に思うことがあれば是非一度ご相談ください。
米国補綴専門医による全顎治療
歯がボロボロで、
どうしたら良いかわからない方へ
歯科治療は病変部や欠損部を最終的に詰め物、被せもの、義歯やインプラントなどで修復します。この最終ゴールを決めるのが補綴専門医の仕事です。美しくやり直しのないパーフェクトな治療をお約束します。
歯がボロボロでも完全修復
歯科 石上医院のお支払い方法について
当院では、現金でのお支払いはもちろんのこと、
「デンタルローンによる分割払い」やクレジットカード払いにも対応しております。
転院・セカンドオピニオンをお考えの方へ専門医・名医へご相談くださいこんなお悩みや不安
ありませんか?
虫歯でずっと
苦労している
歯の根の治療が
終わらない
重度歯周病で
抜歯と言われた
インプラントできない
と言われた
矯正の仕上がりが
不安
先生やスタッフに
質問しづらい
このようなお悩みをお持ちの方は、一度当院にご相談ください。一般的な歯科医院と違い専門医で構成されたチーム(補綴・インプラント・歯内療法・矯正・口腔外科)で対応しますので複雑な症例も解決へ導きます。ご自身が納得のいく治療方法を選ぶことのできるように、他院で再診断や治療方針を求めることは当たり前のことであると考えます。セカンドオピニオンを受けたからと言って、当院で治療しなければならないということでは決してありません。まずはご相談ベースで最善の選択肢をご一緒に探してみましょう。
転院・セカンドオピニオン予約歯科 石上医院の院内設備
プライベート空間にて
一人一人時間をかけ、丁寧に診療します
完全予約制のプライベートクリニックです。ユニットは2つのみで、患者さまお一人お一人に時間を十分お取りして、ご納得されるまでしっかりご説明させていただきます。お困りになっていること、ご希望の治療、ぜひお聞かせください。
落ち着いた雰囲気の院内で
患者様に寄り添った歯科治療を
良質な治療を患者様にご提供するために、充実の設備を整えております。また、治療を受けていただく環境にも配慮し、リラックスしていただけるような歯医者を目指しております。
歯科 石上医院のご予約について
ご予約はお電話または、
メールにて承っております。
※当院は完全予約制でのご案内となります。
※基本的にお問い合わせやご予約はメールにて受け付けております。
※診療の兼ね合いで、お電話では対応が遅くなってしまうことが
ございます。ご了承くださいませ。





虫歯治療
歯周病
根管治療
インプラント
オールオン4
顎関節症・噛み合わせ治療
審美歯科
矯正歯科
入れ歯
ガミースマイル