ダイレクトボンディング
ダイレクトボンディングについて
ダイレクトボンディングとは
ダイレクトボンディングは、中間層を介さずに材料が表面に直接接着するプロセスを指します。歯冠色に近い樹脂(コンポジットレジン)を直接口腔内で築成していきます。水分があると接着力が低下するため、Technique sensitive(技術的にデリケート)と言われる由縁です。
ダイレクトボンディングは
こんな方におすすめ
- 小さな虫歯をきれいに治したい方
- 欠けてしまった歯を治したい方
- すきっ歯を治したい方
- 歯の色や形を改善したい方
保険のコンポジットレジン治療との違い
- 使われる材料が異なる自費診療のダイレクトボンディング治療ではハイブリッドレジンを用いて治療を行うため、プラスチックが主成分の保険診療のコンポジットレジンに比べて耐久性に優れています。また、見た目も艶や透明感があり、より美しく自然に仕上げることができます。
- ラバーダムの使用コンポジットレジンと相性の悪い水分に接触させないための必須道具です。ラバーダムが使用できない場合はレジン修復を避けた方がいいと言っても過言ではないでしょう。保険診療では適用されていないため、使用されることが少ないです。
- 十分な時間の確保ラバーダムの使用、接着のための前処置や口腔内での直接修復には十分な操作時間が必要です。従って、精度の高いレジン修復を行うためには、時間をかける必要があります。保険診療だとコンポジットレジン修復の費用が安く設定されているため、十分な時間の確保が難しい現状があります。
当院のダイレクトボンディングの
特徴について
実績と経験のあるドクターが治療を担当
ダイレクトボンディングは、治療箇所に医師が直接レジンの盛り付けを行うため、治療を担当する医師の技術力が仕上がりを大きく左右します。当院のダイレクトボンディング治療は実績と経験のあるドクターが担当しますので、安心して治療を受けていただけます。
丁寧なカウンセリング
患者様に寄り添った丁寧なカウンセリングを実施し、ご納得いただいた上で治療を受けていただいております。まずはお悩みやご希望について、詳しくお聞かせください。
拡大鏡・マイクロスコープ・
ラバーダムの使用
当院では、ダイレクトボンディング治療の際に拡大鏡・マイクロスコープ・ラバーダムを使用することで、より精密な治療を実現しています。
適切な材料の選択
コンポジットレジンを歯質に接着させるためには、適切な前処置が必要です。数ある製品の中からエビデンスに基づいた薬剤の選択をしております。
院長先生の豊富な治療実績と経験
米国補綴専門医石上 貴之
お口を拝見する前にお困りになっている事をしっかり伺います。
私がよく留学中に言われていたのが、『Meet the mind of the patient before meeting the mouth of the patient: Devan, 1961』(口の中を見る前にまず心を見なさい。)です。お口の中の問題は精神的にも大変辛いものです。
お困りになっていることを正確に把握する事は審査・診断をする上で大変重要です。それを怠ってしまいますと、間違った治療方針に繋がりかねません。
また、歯科治療は患者様の協力が必要不可欠です。こちらからの一方的な治療になりますとご満足のいく結果にはなり得ません。当院では補綴専門医が診査・診断を行い、長期的予後を見据えた治療を提案させて頂きます。
そして、十分な診療時間をかけ適切な材料の選択・施術をして参ります。また、当院はアメリカの専門医と同様の診療システムを取り入れています。各分野の専門医とチームを組んで診療を行います。
経 歴
| 2009年 | 東京歯科大学 卒業 |
|---|---|
| 2010年 | 東京歯科大学歯学部附属病院 歯科臨床研修医 修了 |
| 2011年 | 韓国キョンヒ大学歯学部附属病院補綴科クリニカルリサーチャー 修了 |
| 2016年 | 東京医科歯科大学大学院医歯学総合研究科スポーツ医歯学 卒業 |
| 2021年 | 米国南カリフォルニア大学補綴専門医課程 卒業 (Howard Landesman Scholarship 受賞、2020) |
| 2022年 | 歯科石上医院 院長 |
所属学会
- 米国補綴専門医
- American College of Prosthodontists
- American Board of Prosthodontics
- 日本スポーツ医学会
- 日本補綴歯科学会
まずはお気軽にご相談ください
治療相談、受付中です!
当院では、患者さん目線に立った治療を目指し、できるだけ治療を単純化し、
審美的に美しく機能性も兼ね備えた状態へ回復させることを目的にしています。
患者さんの負担を最小限に抑える治療を行っておりますので、まずはお気軽にご相談ください。
ダイレクトボンディングの
メリット・デメリット
メリット
- 最短1日で治療が終わる来院したその日のうちに修復が完了するので、患者さんの負担も軽減されます。
- さまざまなお悩みに対応可能虫歯の治療や歯の欠けてしまった部分の補修だけでなく、前歯の変色、前歯のすきっ歯、矮小歯など、さまざまな症例に対応可能です。
- 費用を抑えて治療できる型取りをして模型上で修復物を製作する間接修復法より費用が抑えられます。症例によっては、費用対効果が優れることがあります。
- 歯を削る量が少ない被せ物や詰め物による治療に比べて歯を削る量が少ない範囲で済むため、低侵襲で、ご自身の歯に優しい治療法です。
デメリット
- 欠けたり割れる可能性があるセラミックと比べ、機械的強度が劣るため、破折する可能性があります。
- 経年的に変色する可能性があるコンポジットレジンの変色は、外的要因(食品、飲料、喫煙による着色など)と内的要因(材料内部の物理的・化学的変化など)の両方によって起こる可能性があります。
- 適応できない場合がある修復範囲が大きい場合や、奥歯などの強い力が加わる箇所の治療など、ダイレクトボンディングが適応できないケースがあります。適応の可否については、ぜひ当院にご相談ください。
初診時の流れ
当院では、予約制・自由診療で、お口周りのさまざまなお悩みやご希望にお応えできる歯科医院です。自由診療の強みを活かし、十分な時間、適切な材料の選択し、長期的な予後を見据えた治療が出来るように心掛けております。
常に患者様一人ひとりのお気持ちに寄り添い、丁寧でやさしい治療を大事にしています。小さなお子様からご高齢の方まで、歯やお口のことで少しでも気になることがありましたら、どうぞお気軽に当院へご相談ください。
-
ご来院・受付お電話またはWEB、メールにて、お悩みの内容と来院のご希望日時をお伝えください。
-
カウンセリング患者様とお話するお時間を大切にしています。問診の際には、お口に関するお悩みの点やご希望、そのほか気になることがありましたら、どうぞ遠慮なくなんでもご相談ください。
-
検査必要に応じて各種検査を行い、的確な診査・診断をしてまいります。(口腔内診査、口腔内写真撮影、X線写真撮影、CT撮影 等)
-
治療計画の説明検査の結果や治療内容について、分かりやすく丁寧に説明いたします。治療のメリットやデメリットを含めて詳細に説明し、患者様にご納得いただいてから治療を進めてまいります。
-
治療
当院では患者様の将来的な健康まで見据え、エビデンスに基づいた根拠のある治療を心がけております。麻酔や治療の痛みも極力少なくできるよう、一つひとつを丁寧に治療を進めてまいりますので、どうぞご安心ください。
-
メンテナンス同じ症状を繰り返すことなく、お口の中の健康を長く保っていくためには、普段の歯磨きなどのセルフケアとあわせて、歯科医院での定期的な検診や専門的なクリーニングを受けることが重要です。
当院では、そうした「予防ケア」にも力を入れており、治療後におきましても患者様のお口の状態やご希望に合わせた方法で、お口の健康づくりを末長くサポートしています。
ダイレクトボンディングで
よくあるご質問について
ダイレクトボンディングと
セラミック治療はどちらがいいですか?
患者様が重視するポイントによって、どちらが良いかは変わってきます。一般的に、ダイレクトボンディングの方が費用が安く歯を削合する量が比較的少なくてすみます。一方でセラミック治療の方が審美性と強度の面で優れています。
また、修復が必要な範囲によっては、ダイレクトボンディングが適応しない場合もございます。診察させていただいた上で患者様にとって最適な治療方法をご提案しますので、まずはご相談ください。
ダイレクトボンディングの
もちはどれくらいですか?
多くの場合、5〜10年もつとされています。ダイレクトボンディングは耐久性が高く、変色にも強い治療法ですが、長持ちさせるためには定期的なメインテナンスに通っていただくことをおすすめしています。
前歯のすき間は、
ダイレクトボンディングで
治すことができますか?
はい、治すことが可能です。前歯のすき間をレジンで埋めることで、すきっ歯を改善することができます。
ただし症例によっては、適応できない場合もございます。診察させていただいた上で患者様にとって最適な治療方法をご提案しますので、まずはご相談ください。
歯が欠けた部分を
ダイレクトボンディングで治せますか?
はい、治すことが可能です。歯が欠けてしまった部分も、ダイレクトボンディングによって自然に仕上げることができます。
ただし、修復範囲の大きさによっては、適応できない場合がございます。診察させていただいた上で患者様にとって最適な治療方法をご提案しますので、まずはご相談ください。
金属の詰め物をダイレクトボンディングで白くできますか?
はい、治すことが可能です。ダイレクトボンディングなら、歯を削る量を抑えながらメタルフリー治療ができます。
ただし、修復範囲の大きさによっては適応できない場合がございます。診察させていただいた上で患者様にとって最適な治療方法をご提案しますので、まずはご相談ください。
治療期間はどれくらいですか?
何回通院が必要ですか?
ダイレクトボンディングは最短1日・通院回数1回で治療が可能です。
ただし、症例によっては数回通院していただく必要がございます。
ホワイトニングもしたいのですが、
ダイレクトボンディングと
同時にできますか?
まずはホワイトニングを受けることをおすすめしています。ホワイトニング後、白くなった歯の色に合わせてダイレクトボンディング治療を行うことで、より均一で自然な見た目に仕上げられます。
前歯をダイレクトボンディングで
治した後でも、矯正治療は可能ですか?
はい、可能です。ダイレクトボンディングは歯を削る量が最小限なので、治療のやり直しも行いやすいのが特徴です。
ダイレクトボンディングの症例
症例1:上の前歯の着色が気になる
治療前
治療後
治療中の様子
| 主訴 | 上の前歯の着色が気になる |
|---|---|
| 治療期間 | 1日 |
| 治療費 | ¥33,000×4歯(¥132,000) |
| 治療内容 | エナメル質形成不全や脱灰による着色を削らず、酸で溶かし、その後樹脂(レジン)を流し込んで修復しました。Resin infiltrationと言われている方法です。DMG社のIcon(アイコン)という製品を使用します。 削らずに着色部が改善しています。少し色が残っているところだけレジンで修復する予定でしたが、患者様が満足されたため、ひとまず終了となりました。 |
| 治療のリスク | 変色が完全に消えないことがあります。また、一時的に他の部分の色が白くなることがあります。 |
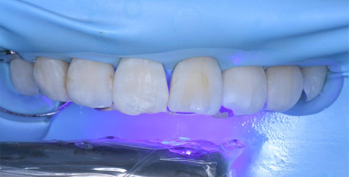
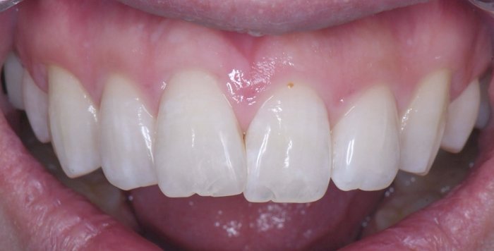
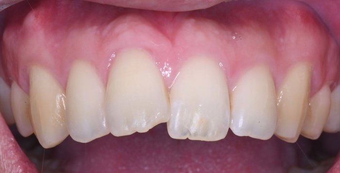
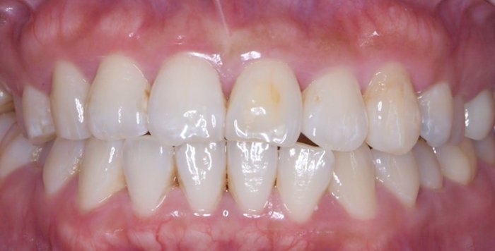
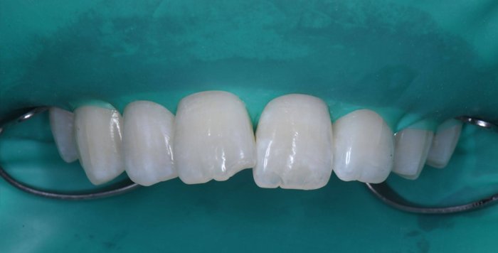
症例2:欠けた歯を治したい
治療前
治療後
治療中の様子
修復した最後に、酸素で阻害された表面(Oxygen Inhibitation Layer)を最終重合しています。
| 主訴 | 欠けた歯を治したい |
|---|---|
| 治療期間 | 1日 |
| 治療費 | ¥22,000 |
| 治療内容 | コンポジットレジンにて修復しました。切端の透明感や亀裂(クラック)を隣の歯と同じように再現できました。患者様には大変満足していただけました。 |
| 治療のリスク | 欠けたり、経年的な変色の可能性があります。 |
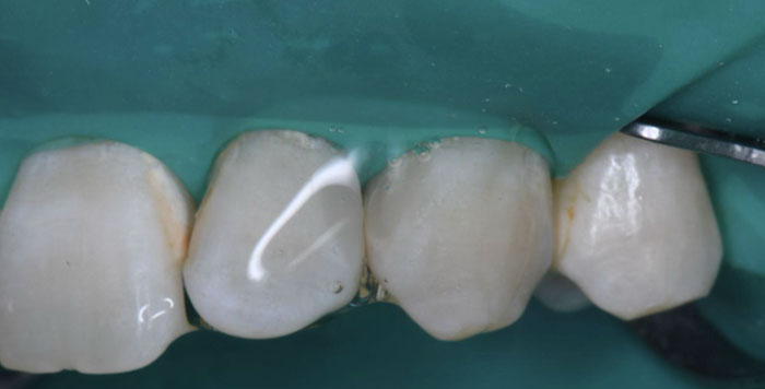
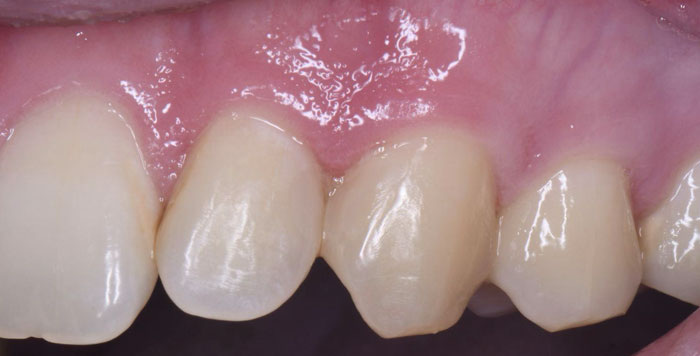
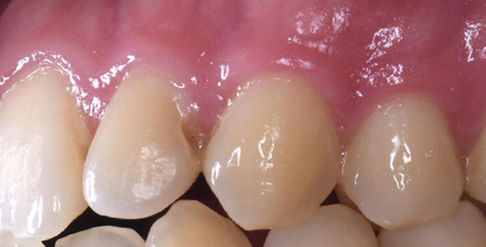
症例3:虫歯を治したい
治療前
治療後
治療中の様子
修復した最後に、酸素で阻害された表面(Oxygen Inhibitation Layer)を最終重合しています。
| 主訴 | 虫歯を治したい |
|---|---|
| 治療期間 | 1日 |
| 治療費 | ¥44,000×2歯(¥88,000) |
| 治療内容 | 象牙質まで達する隣接面の虫歯をラバーダム防湿下にて、コンポジットレジン修復を行いました。歯と歯が適切に接触するよう丁寧に処置を進めました。治療後の見分けがつかないくらい、綺麗に修復できました。 |
| 治療のリスク | 欠けたり、経年的な変色の可能性があります。 |
まずはお気軽にご相談ください
治療相談、受付中です!
当院では、患者さん目線に立った治療を目指し、できるだけ治療を単純化し、
審美的に美しく機能性も兼ね備えた状態へ回復させることを目的にしています。
患者さんの負担を最小限に抑える治療を行っておりますので、まずはお気軽にご相談ください。
