こんにちは。表参道・青山にある歯科石上医院です。

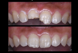
自転車の交通事故で破折した前歯を修復したいと来院された患者様の紹介です。今までに歯科治療を受けたことはなく、カリエスフリーの方でした。今回の事故がなければ、修復物のない状態を維持できていたでしょう。少し残念な気持ちになりました。できれば人工物は入れたくないですものね。
さて、今回は中切歯(#8と#9)が破折していました。幸い脱臼もなく、露髄もなく、神経も正常な反応がありました。#8に関しては、持参した破折片がしっかり歯に戻る状態でした。

治療方針はどうなるでしょうか。以下の3つのオプションを提示させていただきました。
① #8: 破折片をそのまま利用して接着させる。#9: ダイレクトボンディング(コンポジットレジン修復)
②#8: ダイレクトボンディング #9: ダイレクトボンディング(コンポジットレジン修復)
③#8: セラミックベニア #9: ダイレクトボンディング(コンポジットレジン修復)

結論から言うと①の方針で治療を進めることになりました。なぜなら、一番費用対効果が高いからです。特に、#8に関しては、ご自身の歯をもう一度接着させるだけなので削らずに治療ができ、本来の歯の形態に戻すことができます。もちろん、再度とれてしまうこともリスクとしてはありますが、患者様は開口という歯並びのため、あまり前歯に負担がかからない歯並びをされていました。従って、通常より破折のリスクは低いでしょう。また、露髄もなくレジンセメントと優れた化学的接着が可能なエナメル質が残っているのも一つの要因です。優れた接着力を期待できます。②と③に比べ、かかる費用も安いです。
②と③は多少削合が必要なのと、費用が①よりかかるため、費用対効果の面で少し劣っていると考えられます。一方で、ベネフィット(利益)は破折しにくい点でしょうか
また、接着に使用するセメントの選択も重要です。どんなセメントを使うのか? エナメル質とすごく相性の良いレジンセメント(樹脂系セメント)の一択でしょう。しかし、そのレジンセメントにも大きく分けると3つに分類できます。
1: Conventional luting resin cement
そのセメント自体に接着性がないので、プライマーやボンディングが必ず必要です。例えば、(A) Calibra (Dentsply). (B) Variolink II (Dentsply). (C) Duo-Link Universal (Bisco). (D) Multilink (Ivoclar Vivadent)
2: Dual-affinity adhesive resin
基本的に3つのステップ(エッチング、ボンディング、セメンテーション)で構成され1の様に操作が煩雑ですがどの材料にも非常に高い接着力を有しています。例えば、(A) Panavia F 2.0 (Kuraray). (B) C&B Metabond (Parkell). (C) Super Bond C&B (Sun Medical). (D) RelyX Ultimate (3M ESPE
3: Self-adhesive resin cement
セメント自体に接着性があり、プライマーやボンディングなどの前処置の必要がありません。
どれを使うか迷ってしまいますよね。しかし、材料の特性を理解していれば、選択もそこまで困りません。今回は、光重合型のConventional luting resin cementにて接着することにしました。なぜなら、色調安定性があるので(3球アミンが含まれない)接着面の変色が起こりにくいことが期待でき、機械的強度も非常に高くエナメル質に対しての接着強さが非常に高いからです。

実際の治療では、ラバーダム防湿後に#8の破折片と歯にサンドブラスティングを施行。リン酸でエッチングをして、第4世代のトータルエッチングシステムを用いて、レジンセメントにて接着させました。#9も通常通り前処理後にレジン充填にて修復しました。切端の特徴的な段差もできるようにデザインしました。
患者様にも大変喜んでいただけたようで、初めての歯科治療に感動したとコメントをいただけました。スタッフ一同、大変嬉しく思います。

歯のことでお困りのことがありましたら、遠慮なくお問い合わせください。
皆様、良い週末を!
参考文献:Larson TD. Cementation: methods and materials. Part two. Northwest Dent. 2013 Nov-Dec;92(6):29-35.
