こんにちは。表参道・青山にある歯科石上医院です。
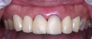
先日、前歯部のセラミッククラウン(差し歯)をやりかえたいということで来院されたケースです。この患者様は「前歯の仮歯の形態が気に入らず、前医の先生が怖くて相談しずらい。」と転院されました。装着されていた仮歯は適合が悪く、仮のセメントが溢れ出している状況でした。

前歯部の写真です。不適合な仮歯と緊密でない根管充填が確認できます。ただし、根管充填してから20−30年経過していて、症状もありませんでした。根尖透過像が見受けられる歯もありますが、とくに歯冠部の歯に感染が疑われないようなら、積極的に再根管治療はせず、補綴だけやりかえていくことにしました。補綴は残存歯質がキーです。不要な治療・歯の削合は避けたいものです。


右上の1番は前医で矯正的に挺出させた状態だったので、根の幅径が他の歯より小さくななっており、理想的な歯の形態の付与や歯茎の隙間のマネージメントがとてもチャレンジングなケースでした。確認用の新しい仮歯に入れ替えました。患者さんの希望で色は少し暗めにしてあります。原則、被せ物は根の部分から移行的に立ち上げなければなりません。清掃性が悪くなったり、歯茎が押されプラークに関係なく歯茎が腫れることがあります。
写真からもわかるように、右上一番の歯は前医で矯正的に引き出した(挺出)ので根が細くなっています。従って、移行的に被せ物を立ち上げた時に、歯と歯の間に大きな空間ができてしまうようになりました。この隙間をブラックトライアングルと言います。患者様はわたった時に歯茎が見えますので、この隙間は審美的に大きく影響してしまう結果となりました。

患者様はなるべく歯の保存を希望しており、補綴だけで何とかコントロールして欲しい。という要望でしたので、ブラックトライアングルのところは歯と歯を連結して塞ぎ、対応することにしました。通常、連結すると清掃が悪くなり、将来的に虫歯に罹患して再度治療が必要になることがありますが、患者様のプラークコントロールとコンプライアンスが非常に良かったので、今回の連結する方針となりました。
ここからは、補綴専門医の腕の見せどころです。仮歯を調整しながら、患者様の理想的な形態に調整していきます。実際に患者様を診るのは歯科医師ですので、私は性格なども考慮して歯のデザインを直接すすめていきます。そして、出来上がったプロトタイプを技工士さんと共有して最終的な修復物に反映させていくわけです。


仮歯を調整中と調整後の写真です。歯の長さや形態、ブラックトライアングルがなくなるか、修正していきます。

調整後、患者様の笑顔が劇的に美しくになりました。ちなみに歯の真ん中の正中は若干顎が傾いている右側に傾けて製作しています。Facial Flow Concept (Silva 2018) と言われており、より願望に調和するように考慮しております。あとは、実際に使用していただいて清掃性や機能的に問題ないか観察していきます。
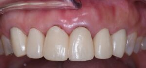
患者様も大変満足していただけたので、最終的な補綴の制作を進めていくことになりました。下の写真は、完成前の試適の写真です。ジルコニアクラウンのコーピングにセラミックを築成し、機能的にも審美的にも精度の高いクラウンを装着する予定でしたので、セラミックの部分がワックスになっている原型の物で完成前に一度試適しています。今回の治療で一番難しいところは連結部分です。プロトタイプで調整した形態を正確になセラミックに反映させていくかが勝負です。従って、セラミックを築成する前にワックスの状態で確認することにしました。

試適も良好でした!!

上の写真が完成した装着時の写真です。初診でいらした時から仮歯に置き換えて最終的なセラミッククラウンの装着までの作業がお分かりになると思います。
実際のクラウンは、仮歯より少し明るめにいたいという要望通り、明度を少し上げてもらいました。また、とても明るい性格の方なので、仮歯よりもう少し丸みを出して、歯の形態がより患者様の性格の合うように若干修正して完成させました。歯の正中はまっすぐで、顔貌を考慮したやや右側への傾きも正確に最終的な補綴物にも反映できております。

上の写真が初心時と治療後の写真です。歯の形態や色調がとても患者様の願望に合っていると思います。患者様にも大変満足していただけました。もちろん、良好な治療結果は患者様の協力があってのことです。長い治療期間中も熱心に通っていただけました。大変お疲れ様でした。
何かお困りのことがありましたら、遠慮なくお問い合わせください。
米国補綴専門医による診査診断、精密補綴治療
歯科石上医院
03-3409-6889
参考文献:
Silva BP, Mahn E, Stanley K, Coachman C. The facial flow concept: An organic orofacial analysis-the vertical component. J Prosthet Dent. 2019 Feb;121(2):189-194. doi: 10.1016/j.prosdent.2018.03.023. Epub 2018 Aug 21. PMID: 30139676.
