こんにちは。表参道・青山の歯科石上医院です。

連結されたクラウンの虫歯治療をしました。クラウンの境界(マージン)が合っておらず、かなり深い虫歯になっていました。レントゲンからもわかるように、6番の歯根がかなり近接しておりますので、型取り(印象)が困難だったことが考えられます。クラウンの形態も理想的に作ることができなかったでしょう。従って、このような全く適合していない修復物が装着されてしまったと推測できました。
このような歯茎の中まで虫歯になっている場合は、修復が難しく、抜歯が第一選択になります。患者様は、抜歯するならインプラント治療を希望されました。しかし、患者様は32歳。できるなら歯を保存してインプラントの介入を遅らせたいと思いました。
インプラント治療において年齢というファクターは大変重要な要素です。なぜなら、インプラントが長期的にお口の中で機能できるか確証はないからです。もちろん、インプラントの成功率は大変高く、さまざまな中期・長期的報告でおよそ90−95%問題なく機能しております。しかし、100%にはなりません。腫れたり、骨吸収が起こったり、痛みを伴ったり、抜けてしまうこともあるからです。また、インプラントは歯と違い骨に直接固定されますので動きません。しかし、骨や歯はターンオーバーを繰り返し動いています。皆様も歯並びが少しづつ変わっていることはご存知でしょうか。インプラントは動きませんが、周りの歯周組織は少しづつ変化しておりますので、将来、インプラントのクラウンと隣の歯に隙間ができたり、歯茎の位置が変わったりと問題が生じることがあります。これは、論文でも報告されており、特に若い頃に前歯部にインプラントを埋入されると、将来的に審美障害が起こるリスクが高いとされています。従って、若い方なら特にご自身の歯で過ごしてもらいたいと考えます。そこで、考えることは費用対効果です。インプラントにした場合のリスクや費用に対してどのくらいの利益が得られるか。。。歯を保存した場合のリスクと費用に対してどのくらいの利益が得られるか。。。これらを比較することにより合理的に治療方針を選択することができます。
今回の場合、インプラントにした場合の利益は虫歯にならないことです。患者様は虫歯リスクが高いと診断しましたので、この点については大きな利益を得られることができます。年齢を考慮するとインプラントの介入は遅らせたい。費用は高め。
歯を保存した場合、インプラントではなく自身の歯を保存できるメリットがあります。費用はインプラントに比べるとやや安いですが、将来的な虫歯のリスクは残ります。根管治療されている歯ですので、将来的な根尖病巣のリスクもあります。従って、前者の方が費用に対して、得られる利益が多いと分かりました。
上記の内容を踏まえた上で、患者様は後者の方針を選択されました。ここからは患者様の意思決定です。それまでは、インホォームドコンセント。私の仕事はそれぞれの治療方針の特徴を可能な限りご説明することです。後は選んでいただきます。抜歯したら2度とご自身の歯は戻ってきません。Biologic price。生体の物は唯一無にです。患者様はリスクがあっても歯の保存にトライしたいということになりました。

ここからも、補綴専門医の腕の見せ所です。まずは、歯質を挺出させ、虫歯になっていない部分を歯肉上に牽引します。ゴムで引き上げながらFiberotomyとRoot planingを併用して約1ヶ月で垂直的移動が終了(1ヶ月)。矯正的に引き上げると周りの骨や歯肉が一緒に上がってきますので、矯正後に外科的に取り除くことが必要です。これを避けるために、ゴムの交換時に一緒に歯周靱帯を切断し根麺を滑沢にしてあげます。そうすることにより、歯の根だけ引き上げることが可能です。従って、追加の外科処置は必要なくなります。その後、歯根の近接も解消しなければならないので、矯正用の歯間ごむで水平的に移動させました(2週間)。最後に、後戻りを防ぐため2−3ヶ月固定期間を設けて、歯冠部の補綴処置に進みました。

残っている歯質が多いわけではないので、土台は強度の高い金属を選択。審美的には金合金の方が明るいので理想ですが、金の高騰でとても費用がかかります。今回の修復部位は奥歯で、あまり人目につかないところなので、シルバー系の合金を選択るすことになりました。残っている歯質が少ない時は強度の高い金属が推奨されます。樹脂とファイバーコアは荷重を吸収して分散してくれると言われていますが、実際の臨床研究では実証されていません。あのデータはあくまでもFEAを用いたシミュレーションのものです。臨床研究を見ると、樹脂系の土台が特別優れているというデータは出ていません。強いていうなら、審美的観点でしょうか。白いマテリアルなので土台が暗くなることはありません。

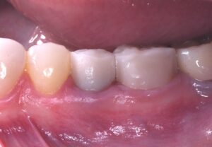
歯根部の着色とメタルコアを選択したため色調がやや暗くなっていますので、クラウンの内冠で暗さがマスキングできてるか確認しました。完全にマスキングできてないので、再度修正確認しようと思いましたが、患者様はそこまでこだわりはないということなのでこのまま完成することになりました。

歯茎の位置は変わらることなく補綴をして無事に治療終了しました。若干暗さはありますが、実際お話しして気になることは全くありませんでした。最初のクラウンは不適合で写真でもわかるように隙間が開いてます。今回のものはぴったり適合しています。患者様も大満足。あとは、フッ素を上手に使いながら虫歯にならないようにメンテしていきます。

いかがでしたでしょうか。一つ歯を修復する時でも、実はたくさんの因子を考慮して将来的に再び治療にならないように治療方針を決めていきます。補綴で修復する時も、どのマテリアルを使用するかも大変重要です。なんとなくではなく根拠を持って、なぜこの材料を使用するのか。じゃ、どういうセメントで接着するのか。操作で気を付けなければならないことはなにか。など、考えなければならないことはたくさんあります。
当院では、他院で歯内療法専門医による根管治療後に補綴目的で来院される方もたくさんいらっしゃいます。精密な補綴を希望される方は、お問合せくださいませ。
桜が綺麗ですね。季節の変わり目です。ご自愛ください。
石上
米国補綴専門医
