こんにちは。表参道・青山の歯科石上医院です。

この患者様は「側切歯が先天性に欠損しおり、犬歯の尖りを直したい。」と来院されました。歯の色も白くしたいと希望がありましたので、ホワイトニングにより色調を改善した後に修復することになりました。
本来、側切歯があるところに犬歯がきているため、何か違和感がある印象を受けます。それではどの様にこの歯の形態を修復すれば良いでしょうか。
形態を修正するには、大きく分けると2つの方法があると思います。Additive かsubtractiveです。Additiveというのは添加・追加するという意味です。つまり、あまり削らず足していくことで修正する方法です。一方、Subtractiveとは、差し引く・取り除くという意味ですので、削って修正する方法になります。Additiveの方が歯にとっては優しいわけです。足すだけですから。どんな時もこの方法でできれば進みたいですね。
今回の場合は、尖っている部分の形態を修正するためにどの方法がベストか考えなければなりません。治療方針および計画を考えるとこるは補綴専門医の腕の見せところです。まずは、Minimam interventionなところから考えていきます。Diect bondingです。レジンで足していきます。つぎは、表面だけにセラミックを貼り付けるセラミックベニアです。その次は、全周を削って被せるクラウンです。費用についても、コンポジットレジン→ベニア→クラウンの順で高くなります。
模型上でシミュレーションしたところ、レジンの厚みが必要なところはエナメル質の範囲内で少し削合し、コンポジットレジンで全体の形態を作るれば審美的に綺麗に形態を修正できることがわかりました。



コンポジットレジン充填は経年的に着色や変色してしまうリスクがありますが、口腔内で試しにモックアップした時に劇的な改善が認められました。患者様の主訴である側切歯部にある犬歯の形態修正に対して、もっとも費用対効果が高い治療方針であることが分かりました。もし、将来的に変色してしまったり割れた場合は、その時にベニアにしたりクラウンにすることができます。
実際の処置は、模型上でシミュレーションした歯の形態をシリコンパテでコピーし、それを口の中ではめて足りない部分を足して形態を修正していきます。表面にレジンの厚みを持たせたいところはリダクションガイドをしようしてあまり削りすぎない様に行います。

レジンを足して重合した後は、形態を修正・研磨してより理想の状態に近づけています。

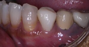
治療前後に顔貌写真と口腔内写真です。患者さんには大変満足していただけました。破折や変色のリスクがありますが、費用対効果が高く審美的に大変満足いく結果となりました。
お口の見た目で困られている方や治療方針で迷っていることがありましたら、お気軽にお問い合わせください。
『PRESERVATION (of tooth structure) instead of PREPARATION (of tooth structure)』
歯をどう削るかではなく、どう保存するか考えることも大変重要ですね!
日付: 2026年1月19日 カテゴリ:医院ブログ, 噛み合わせ, 審美歯科, 症例


























