こんにちは。表参道・青山の歯科石上医院です。
この患者さんは他の歯を治療中に以前詰めたレジン充填が欠けてしまい、治療になりました。特に虫歯になっていたわけではないので、一層汚染面を削合して再び詰め直す方針となりました。

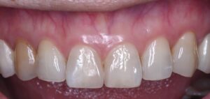
上の写真が初診時。

欠けた時の写真です。
コンポジットレジン充填は樹脂を詰めて成形する治療です。従って、維持力は歯の接着に依存しています。この接着操作で一番注意しなければいけないことは、水分です。樹脂、つまりプラスチックを付けていくわけですから、少しでも水分があれば阻害因子となって接着力の低下につがなります。また、修復する部位にも影響されます。例えば、レジン充填と最も相性の良い部位はエナメル質です。なぜなら、エナメル質は象牙質、セメント質と比べて水分が少ない構造だからです。ですから、レジン充填をする時はなるべくエナメル質が残るように削っていきます。そして、何といってもラバーダムの使用が不可欠です!唾液を防ぐことはもちろんですが、歯茎からも滲出液がでてきますのでラバーダムを使用しなければなりません。

ラバーダム防湿時の写真です。
アメリカではコンポジットレジン充填はTechnique sensitiveと言われていました。化学的に接着させるために、一つ一つの手順を精度高く行う必要があります。本来、保険診療などで15−30分で行う治療ではないと考えます。精度が低い治療を受ければ、数年後に虫歯になったり欠けたりしてやり直しになってしまいます。歯を削ることになり、歯質がどんどん少なくなり、結果的に抜歯に近づくことも考えられます。
話はそれますが、よく患者さんから虫歯治療の時にMTAを使えば神経が残せるかと質問されることがあります。結論から言うとそれ分かりません。また、MTAを使用するかどうかはあまり重要でありません。一番重要なのは、その上に詰めたりする修復物の精度です。少しでも、隙間があったりセメントがしっかり硬化していないとすぐに細菌が侵入してしまいます。再び感染することにより虫歯が進行していくからです。インターネット上の間違った情報の影響で、MTAは魔法の治療薬と考えられている方が多いようです。
私は南カリフォルニア大学の補綴専門医過程でOperative (日本で言う保存科)のクラスにも出席して文献抄読会に参加しました。虫歯治療の最新の知見も勉強しました。もちろん、虫歯をしっかり取り除きMTAなどの使用も含め、一つ一つの処置を精度高く行うことも大事ですが、最終的な修復物の精度がすべての効果を発揮させるために最も重要な要素なんです。

治療前の写真です。

治療後の写真です。
患者さんは大満足して頂けました。。審美的な回復はもちろんですが、一つ一つのステップを精度高くおこなっているので、長期的にも機能できると自負しております。
何かお困りのことがありましたら、遠慮なくお問い合わせください。
