こんにちは。表参道・青山にある歯科石上医院です。


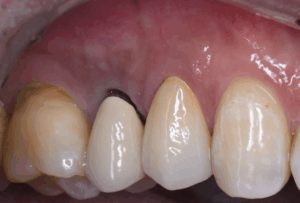
歯内療法専門医の医院で根管治療を受けた後に当院でクラウンを入れたいと来院された患者様です。歯茎にあった膿の袋は消失し、痛みもなくなりました。頬側の歯質がしっかり残ってたのでレジンコアとファイバーポストで土台を作りました。そのあとは、形態を整え用意しておいた仮歯を装着しました。歯茎の変化がないか確認するため、型取り(印象)は次回になります。形態を整える時の刺激で歯肉の位置が変化する可能性があるからです。よく、土台を建てた後に形成し、同日に印象をとることもあると聞きますが、原則は別日です!
歯茎の部分と被せ物(クラウン)の位置がしっかり合う様に着実に処置を進めていくことが大切です。
”神は細部に宿る” by ミース・ファン・デル・ローエ
見た目がよいだけでは意味がありません。根管治療、土台、形態、マージン、適合、コンタクト、かみ合わせなど、装着するまでのすべての工程で精度の高い処置が求められます。長期的に経過した時に、大きな差となることでしょう。

下記の動画はクラウンの装着時のものです。セメントで装着する前に適合をマイクロスコープで確認しております。隙間があると細菌が侵入し、再び虫歯になったり根管治療が必要になる恐れがあります。つまり、治療のやり直しは抜歯に近づくのです。この事実は論文でも報告があります。従って、私はやり直しにならないように、細部に気をつけ修復することを心がけております。
何かお困りのことがありましたら、お気軽にご相談ください。
涼しくなってきました。季節の変わり目です。ご自愛ください。
